Không phải ai ngay từ khi sinh ra đã sở hữu một hàm răng trắng sáng, đều đặn. Cùng với răng xỉn màu thì răng thưa cũng khiến không ít người cảm thấy thiếu tự tin trong giao tiếp. Có những nguyên nhân răng thưa dần nào, tại sao răng bị thưa ra và cách khắc phục răng thưa nào hiệu quả? niềng răng chỉnh hô có đau không? bạn hãy tham khảo một số lời khuyên của bác sĩ Nha khoa Đăng Lưu để điều trị răng thưa dưới đây.
![]() |
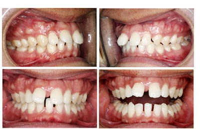
| Niềng răng thưa |
Răng thưa do đâu?
Răng thưa sẽ gây mất thẩm mỹ gương mặt và khiến bạn mất tự tin dù không gây ảnh hưởng quá lớn đến sức khỏe và cử động hàm như móm hay hô răng. Chúng ta thường nghĩ rằng răng thưa là khuyết điểm bẩm sinh, tuy nhiên yếu tố này chỉ chiếm tỷ lệ các trường hợp răng thưa phức tạp.
Một số nguyên nhân ngoài bẩm sinh khiến răng bị thưa bao gồm:
- Bẩm sinh kích cỡ răng nhỏ hơn nhiều so với kích cỡ cung hàm.
- Thiếu mầm răng vĩnh viễn nên khi răng sữa rụng sẽ không có răng thay thế.
- Răng thừa mọc lệch lạc làm xô đẩy các răng đã ổn định vị trí.
- Bệnh viêm nướu ăn mòn các mô mềm chân răng.
- Tụt nướu khiến răng có khe hở lớn và lộ chân răng.
>> Thông tin nha khoa nên biết: mọc răng khôn có ý nghĩa gì
Niềng răng thưa với loại hình nào tốt nhất?
Có nhiều cách khắc phục nhược điểm răng thưa như trám, bọc sứ,... tuy nhiên niềng răng thưa vẫn là giải pháp tối ưu nhất. Nếu khe hở nhỏ và xảy ra ở một vài điểm răng bệnh nhân có thể chỉ cần trám hoặc bọc răng sứ tuy nhiên ở mức độ nghiêm trọng, giải pháp tối nhất sẽ là niềng răng. Niềng răng là kỹ thuật sử dụng hệ thống dây cung - mắc cài tạo lực siết mạnh giúp tổ chức lại vị trí răng trong khoang miệng.
Liệu trình niềng răng thừa thường kéo dài từ 1-3 năm tùy thuộc vào cấp độ phức tạp của nhược điểm và giải pháp niềng răng bạn chọn. Trong quá trình đeo niềng, bạn sẽ thực hiện một số lần tái khám để bác sĩ theo dõi tiến độ di chuyển răng.
Niềng răng thưa ở đâu uy tín?
Nha khoa Đăng Lưu là trung tâm nha khoa uy tín với hệ thống trang thiết bị hiện đại, cùng đội ngũ bác sĩ giàu kinh nghiệm. Những điều bạn mong muốn và thắc mắc liên quan đến dịch vụ niềng răng thưa đều được trung tâm nha khoa chúng tôi đáp ứng với chất lượng phục vụ làm bạn hài lòng.
Răng thưa là nhược điểm phổ biến ở nhiều người và ở mọi lứa tuổi; tuy không ảnh hưởng lớn đến sức khỏe hay nhưng lại có tác hại lớn đến tính thẩm mỹ gương mặt. Chúng tôi sẽ tư vấn và đưa ra phương pháp niềng răng thưa phù hợp với bạn để kết quả đúng như mong muốn của bạn.
Bài viết được trích nguồn tại: https://catxuonghammom.blogspot.com
Thông tin liên hệ:
Trung tâm nha khoa Đăng Lưu
Cơ sở 1: 34 Phan Đăng Lưu, P.6, Q.BìnhThạnh - (+84 8) 6297 7148
Cơ sở 2 : 540 Trần Hưng Đạo, P.2, Q.5 - (+84 8) 6682 0246
Hotline: 08 3803 0578
TG: VT
